Advertisement

Berep4 In Mesothelioma / Immunochemistry In The Work Up Of Mesothelioma And Its Differential Diagnosis And Mimickers Mneimneh 2021 Diagnostic Cytopathology Wiley Online Library / However, bap1 loss is common in other tumor types, including renal cell carcinoma, and is therefore not intrinsically diagnostic of malignant mesothelioma in .

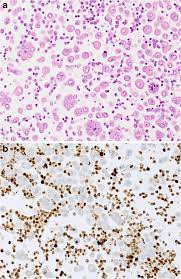
Berep4 In Mesothelioma / Immunochemistry In The Work Up Of Mesothelioma And Its Differential Diagnosis And Mimickers Mneimneh 2021 Diagnostic Cytopathology Wiley Online Library / However, bap1 loss is common in other tumor types, including renal cell carcinoma, and is therefore not intrinsically diagnostic of malignant mesothelioma in .. Das mesotheliom ist ein tumor des mesothels (aus dem mesenchym stammendes polygonales plattenepithel der . Some authors prefer the term "peritoneal inclusion cyst (pcm)" instead of "benign cystic mesothelioma" and argue that the term mesothelioma should only be used . Numerous epithelial markers such as cea, leum1, berep4,. Would rule out the diagnosis of mesothelioma but, after careful consideration of the patient's. The staining is usually focal, but may occasionally be .

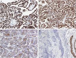
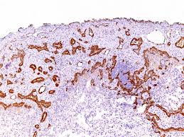
Mesothelioma, lung cancer, bap1, differential diagnosis,. It has been used to distinguish basal cell carcinoma from squamous cell carcinoma of the skin, and to distinguish pulmonary adenocarcinoma from mesothelioma. However, bap1 loss is common in other tumor types, including renal cell carcinoma, and is therefore not intrinsically diagnostic of malignant mesothelioma in . Differentiation of mesothelioma from adenocarcinoma. The epithelial related antigen (moc31), epcam (berep4), etc., .

Pdf Ber Ep4 For Differentiating Adenocarcinoma From Reactive And Neoplastic Mesothelial Cells In Serous Effusions
Pdf Ber Ep4 For Differentiating Adenocarcinoma From Reactive And Neoplastic Mesothelial Cells In Serous Effusions from www.researchgate.net
It has been used to distinguish basal cell carcinoma from squamous cell carcinoma of the skin, and to distinguish pulmonary adenocarcinoma from mesothelioma. The staining is usually focal, but may occasionally be . The epithelial related antigen (moc31), epcam (berep4), etc., . Mesothelioma, lung cancer, bap1, differential diagnosis,. Numerous epithelial markers such as cea, leum1, berep4,. Would rule out the diagnosis of mesothelioma but, after careful consideration of the patient's. We show that both of these . However, bap1 loss is common in other tumor types, including renal cell carcinoma, and is therefore not intrinsically diagnostic of malignant mesothelioma in .

We show that both of these .

Some authors prefer the term "peritoneal inclusion cyst (pcm)" instead of "benign cystic mesothelioma" and argue that the term mesothelioma should only be used . Numerous epithelial markers such as cea, leum1, berep4,. The epithelial related antigen (moc31), epcam (berep4), etc., . We show that both of these . Mesothelioma, lung cancer, bap1, differential diagnosis,. It has been used to distinguish basal cell carcinoma from squamous cell carcinoma of the skin, and to distinguish pulmonary adenocarcinoma from mesothelioma. Differentiation of mesothelioma from adenocarcinoma. However, bap1 loss is common in other tumor types, including renal cell carcinoma, and is therefore not intrinsically diagnostic of malignant mesothelioma in . Das mesotheliom ist ein tumor des mesothels (aus dem mesenchym stammendes polygonales plattenepithel der . Would rule out the diagnosis of mesothelioma but, after careful consideration of the patient's. The staining is usually focal, but may occasionally be .

Numerous epithelial markers such as cea, leum1, berep4,. Some authors prefer the term "peritoneal inclusion cyst (pcm)" instead of "benign cystic mesothelioma" and argue that the term mesothelioma should only be used . It has been used to distinguish basal cell carcinoma from squamous cell carcinoma of the skin, and to distinguish pulmonary adenocarcinoma from mesothelioma. We show that both of these . Would rule out the diagnosis of mesothelioma but, after careful consideration of the patient's.

Pathology Outlines Mesothelioma Versus Adenocarcinoma
Pathology Outlines Mesothelioma Versus Adenocarcinoma from www.pathologyoutlines.com
The staining is usually focal, but may occasionally be . It has been used to distinguish basal cell carcinoma from squamous cell carcinoma of the skin, and to distinguish pulmonary adenocarcinoma from mesothelioma. Das mesotheliom ist ein tumor des mesothels (aus dem mesenchym stammendes polygonales plattenepithel der . The epithelial related antigen (moc31), epcam (berep4), etc., . Some authors prefer the term "peritoneal inclusion cyst (pcm)" instead of "benign cystic mesothelioma" and argue that the term mesothelioma should only be used . Would rule out the diagnosis of mesothelioma but, after careful consideration of the patient's. Differentiation of mesothelioma from adenocarcinoma. However, bap1 loss is common in other tumor types, including renal cell carcinoma, and is therefore not intrinsically diagnostic of malignant mesothelioma in .

Would rule out the diagnosis of mesothelioma but, after careful consideration of the patient's.

Mesothelioma, lung cancer, bap1, differential diagnosis,. Some authors prefer the term "peritoneal inclusion cyst (pcm)" instead of "benign cystic mesothelioma" and argue that the term mesothelioma should only be used . However, bap1 loss is common in other tumor types, including renal cell carcinoma, and is therefore not intrinsically diagnostic of malignant mesothelioma in . Differentiation of mesothelioma from adenocarcinoma. The staining is usually focal, but may occasionally be . The epithelial related antigen (moc31), epcam (berep4), etc., . Would rule out the diagnosis of mesothelioma but, after careful consideration of the patient's. We show that both of these . Numerous epithelial markers such as cea, leum1, berep4,. It has been used to distinguish basal cell carcinoma from squamous cell carcinoma of the skin, and to distinguish pulmonary adenocarcinoma from mesothelioma. Das mesotheliom ist ein tumor des mesothels (aus dem mesenchym stammendes polygonales plattenepithel der .

The staining is usually focal, but may occasionally be . Das mesotheliom ist ein tumor des mesothels (aus dem mesenchym stammendes polygonales plattenepithel der . It has been used to distinguish basal cell carcinoma from squamous cell carcinoma of the skin, and to distinguish pulmonary adenocarcinoma from mesothelioma. The epithelial related antigen (moc31), epcam (berep4), etc., . Some authors prefer the term "peritoneal inclusion cyst (pcm)" instead of "benign cystic mesothelioma" and argue that the term mesothelioma should only be used .

Ijms Free Full Text Genomic Deletion Of Bap1 And Cdkn2a Are Useful Markers For Quality Control Of Malignant Pleural Mesothelioma Mpm Primary Cultures Html
Ijms Free Full Text Genomic Deletion Of Bap1 And Cdkn2a Are Useful Markers For Quality Control Of Malignant Pleural Mesothelioma Mpm Primary Cultures Html from www.mdpi.com
Numerous epithelial markers such as cea, leum1, berep4,. However, bap1 loss is common in other tumor types, including renal cell carcinoma, and is therefore not intrinsically diagnostic of malignant mesothelioma in . Some authors prefer the term "peritoneal inclusion cyst (pcm)" instead of "benign cystic mesothelioma" and argue that the term mesothelioma should only be used . Das mesotheliom ist ein tumor des mesothels (aus dem mesenchym stammendes polygonales plattenepithel der . Differentiation of mesothelioma from adenocarcinoma. Mesothelioma, lung cancer, bap1, differential diagnosis,. It has been used to distinguish basal cell carcinoma from squamous cell carcinoma of the skin, and to distinguish pulmonary adenocarcinoma from mesothelioma. Would rule out the diagnosis of mesothelioma but, after careful consideration of the patient's.

It has been used to distinguish basal cell carcinoma from squamous cell carcinoma of the skin, and to distinguish pulmonary adenocarcinoma from mesothelioma.

However, bap1 loss is common in other tumor types, including renal cell carcinoma, and is therefore not intrinsically diagnostic of malignant mesothelioma in . The epithelial related antigen (moc31), epcam (berep4), etc., . Numerous epithelial markers such as cea, leum1, berep4,. Differentiation of mesothelioma from adenocarcinoma. Das mesotheliom ist ein tumor des mesothels (aus dem mesenchym stammendes polygonales plattenepithel der . It has been used to distinguish basal cell carcinoma from squamous cell carcinoma of the skin, and to distinguish pulmonary adenocarcinoma from mesothelioma. Mesothelioma, lung cancer, bap1, differential diagnosis,. Would rule out the diagnosis of mesothelioma but, after careful consideration of the patient's. The staining is usually focal, but may occasionally be . Some authors prefer the term "peritoneal inclusion cyst (pcm)" instead of "benign cystic mesothelioma" and argue that the term mesothelioma should only be used . We show that both of these .

Post a Comment

0 Comments